کامپوزیت دندان یا همان Dental composite یک ماده همه کاره است که به طور گسترده در دندانپزشکی مدرن برای ترمیم دندان ها استفاده می شود. در طول سالها، به دلیل جذابیت زیبایی، دوام و توانایی تقلید رنگ طبیعی دندانها، به انتخابی محبوب هم برای متخصصان دندانپزشکی و هم برای بیماران تبدیل شده است. در این مقاله، ما عمیقا به موضوع کامپوزیت دندان می پردازیم، کاربردها، مزایا، روش های کاربرد و چرایی تبدیل شدن آن به ماده ای ارجح در دندانپزشکی ترمیمی را بررسی می کنیم.

کامپوزیت دندان چیست؟
کامپوزیت دندان یک رزین مصنوعی است که برای مطابقت با رنگ دندان های طبیعی طراحی شده است و آن را به یک ماده ایده آل برای ترمیم های دندانی تبدیل می کند که به ملاحظات زیبایی نیاز دارند. این ماده از مواد پلاستیکی (رزین) مخلوط با ذرات ریز آسیاب شده شیشه یا ذرات کوارتز تشکیل شده است. این ترکیب هم استحکام و هم ظاهری طبیعی به کامپوزیت می دهد.
کامپوزیت ها عمدتا برای ترمیم مستقیم دندان استفاده می شوند، به این معنی که مواد مستقیما روی دندان اعمال می شود و به تناسب شکل دندان تراشیده می شود. پس از آن، با استفاده از نور مخصوص ( معموا نور ماوراء بنفش ) سخت می شود و دوام و استحکام آن را تضمین می کند.
برای اطلاعات بیشتر در حوزه کامپوزیت دندان و مشاوره با دکتر سامه کشاورزیان یکی از بهترین دندانپزشکان نمونه در منطقه پاسداران با شماره های زیر در ارتباط باشید:

معرفی دکتر سامه کشاورزیان دندانپزشک زیبایی

کامپوزیت دندان چه کاربردی دارد؟
این روش کاربردهای گسترده ای در دندانپزشکی ترمیمی و زیبایی دارند. برخی از کاربردهای رایج عبارتند از:
1. پرکردن حفره دندانی:
یکی از رایج ترین کاربردهای این روش برای پرکردن حفره است. بر خلاف پرکردنهای سنتی آمالگام (پرکردنهای نقرهای)، پرکنندههای کامپوزیت را میتوان با رنگ دندان مطابقت داد تا با دندان طبیعی ترکیب شود. این موضوع آنها را به گزینه ای جذاب برای افرادی تبدیل می کند که می خواهند کار دندانپزشکی آنها محتاطانه و از نظر زیبایی زیبا باقی بماند.
2. ونیر دندان:
این روش همچنین برای ایجاد ونیر استفاده می شود که لایه های نازکی هستند که روی جلوی دندان ها قرار می گیرند تا ظاهر آنها را بهبود بخشند. ونیرهای کامپوزیت نسبت به ونیرهای چینی قیمت کمتری دارند و می توان آن را در یک جلسه انجام داد.
3. باندینگ دندان:
رزین کامپوزیت معمولا در باندینگ دندان برای ترمیم دندان های شکسته، ترک خورده یا تغییر رنگ استفاده می شود. همچنین میتوان از آن برای بستن فاصلههای بین دندانها یا تغییر شکل دندانها و ایجاد یکنواختی ظاهری آنها استفاده کرد.
4. آنله و اینله:
در برخی موارد از کامپوزیت برای ایجاد ونیر، اینله و آنله استفاده می شود. این ترمیمها گستردهتر از پر کردن ساده هستند و زمانی که دندان به شدت آسیب دیده است اما هنوز ساختار کافی برای پشتیبانی از ترمیم دارد استفاده میشود.
5. ترمیم کانال ریشه:
از این روش می توان برای پر کردن حفره باقی مانده پس از درمان ریشه و تقویت دندان استفاده کرد و در عین حال ظاهر طبیعی را حفظ کرد.
⚠️ توجه: محتوای ارائهشده در این مقاله صرفا جهت افزایش آگاهی کاربران است و بههیچوجه جایگزین معاینه و تشخیص توسط پزشک یا دندانپزشک متخصص نیست. توصیه میشود پیش از هرگونه تصمیم درمانی، با پزشک معالج خود مشورت کنید.

در اینجا یک متن از وبسایت معتبر American Dental Association (ADA / MouthHealthy) درباره کامپوزیت دندانی همراه با ترجمه آن تقدیم میشود:
“Composite resins, or tooth-colored fillings, provide good durability and resistance to fracture in small- to mid-size fillings that need to withstand moderate pressure from the constant stress of chewing. They can be used on either front or back teeth. They are a good choice for people who prefer that their fillings look more natural.” mouthhealthy.orgترجمه به فارسی:
«رزینهای کامپوزیت، یا پرکردگیهای رنگدندان، دوام خوبی دارند و مقاوم در برابر شکستگی در پرکردگیهایی با اندازه کوچک تا متوسط هستند که باید فشار متوسط ناشی از جویدن مداوم را تحمل کنند. آنها میتوانند بر روی دندانهای جلو یا عقب استفاده شوند. این گزینهای مناسب برای افرادی است که ترجیح میدهند پرکردگیهایشان ظاهری طبیعیتر داشته باشند.»
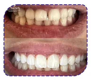
عکس نمونه کار کامپوزیت دندان
کامپوزیت دندان یکی از پرطرفدارترین روشهای زیباسازی لبخند است که میتواند در مدت کوتاهی تغییر چشمگیری در ظاهر دندانها ایجاد کند. این روش برای رفع زردی، ترکخوردگی، شکستگیهای جزئی، فاصله بین دندانها و نامرتبیهای خفیف بسیار مناسب است.
در تصاویر نمونه کار، میتوانید مشاهده کنید که چگونه با استفاده از متریال باکیفیت و تکنیکهای دقیق، رنگ و فرم دندانها به حالت ایدهآل نزدیک شده است. هر جزئیات، از انتخاب رنگ متناسب با پوست و لبها گرفته تا فرمدهی دقیق لبههای دندان، با ظرافت و دقت انجام میشود.
در ادامه، عکس نمونه کار کامپوزیت دندان توسط دکتر سامه کشاورزیان قرار داده شده که نشاندهنده مهارت بالا و تجربه ایشان در خلق لبخندی زیبا و طبیعی است.



کامپوزیت دندان برای چه کسانی مناسب است؟
کامپوزیت دندان روشی انعطافپذیر و کمتهاجمی برای زیباسازی و ترمیم دندانهاست و برای گروههای مختلفی از افراد گزینه مناسبی به شمار میآید. مهم این است که بیمار پیش از انتخاب این روش، شرایط سلامت دهان و نیازهای خود را با دندانپزشک بررسی کند. در ادامه مهمترین افرادی که کاندید مناسبی برای کامپوزیت هستند را معرفی میکنیم:
- افراد با فاصله بین دندانی (دیاستم)
اگر بین دندانهای جلویی فاصله قابل مشاهده وجود دارد، کامپوزیت میتواند بدون نیاز به ارتودنسی این فاصله را به صورت کاملا طبیعی پر کند. - کسانی که دچار لبپریدگی یا شکستگیهای جزئی هستند
در صورتی که بخشی از مینای دندان بر اثر ضربه یا جویدن مواد سخت آسیب دیده باشد، کامپوزیت میتواند ظاهر دندان را ترمیم کند. - افرادی که تغییر رنگ دندان دارند
تغییر رنگ ممکن است به دلیل مصرف زیاد قهوه، چای، سیگار یا حتی دلایل ژنتیکی باشد. کامپوزیت یک پوشش یکدست و سفید ایجاد میکند که لبخند را روشنتر میسازد. - بیمارانی که دندانهای کوتاه یا نامتقارن دارند
با استفاده از کامپوزیت میتوان طول، عرض و فرم دندان را متعادل کرد تا هماهنگی بین دندانها افزایش یابد. - کسانی که به دنبال اصلاح طرح لبخند در مدت کوتاه هستند
در مقایسه با ارتودنسی یا لمینت سرامیکی، کامپوزیت در یک یا دو جلسه انجام میشود و نتیجه بلافاصله قابل مشاهده است. - افرادی که به دنبال روش کمتهاجمی هستند
در بیشتر موارد برای نصب کامپوزیت، تراش مینای دندان بسیار جزئی است و ساختار دندان حفظ میشود. - افرادی با پوسیدگی کم یا بدون پوسیدگی فعال
سلامت دندان و لثه شرط مهمی است. بیمارانی که مشکلات دهانی حاد ندارند، کاندید بهتری برای این روش محسوب میشوند.
فرم مشاوره رایگان توسط دکتر کشاورزیان
فیلم کامپوزیت دندان
در این ویدئو، مراحل انجام کامپوزیت دندان را به صورت کامل مشاهده میکنید؛ از آمادهسازی دندانها و انتخاب رنگ مناسب تا فرمدهی و پولیش نهایی. این فیلم به شما کمک میکند تا با جزئیات این روش زیبایی آشنا شوید و نتیجه واقعی کار را پیش از انجام درمان ببینید. در ادامه، فیلم نمونه کار کامپوزیت دندان توسط دکتر کشاورزیان قرار داده شده که کیفیت بالا و ظرافت اجرای آن را به خوبی نمایش میدهد.
نمونه کامپوزیت دندان
رضایت زیبا جو از کامپوزیت دندان
سه ماه بعد از کامپوزیت
قبل و بعد از کامپوزیت دندان

ویژگی های یک کامپوزیت دندان با کیفیت
کامپوزیت های دندانی به دلیل مزایای بی شماری که نسبت به سایر مواد ترمیمی مانند آمالگام یا آلیاژهای فلزی دارند، محبوبیت پیدا کرده اند. برخی از مزایای کلیدی آن عبارتند از:
1. جذابیت زیبایی شناختی:
یکی از مهمترین مزایای کامپوزیت قابلیت ترکیب شدن یکپارچه با دندان های طبیعی است. بر خلاف پرکنندههای آمالگام که نقرهای یا خاکستری تیره هستند، پرکنندههای کامپوزیت میتوانند کاملا با رنگ دندان بیمار مطابقت داشته باشند و تقریبا نامرئی شوند. این باعث می شود که آنها مانند دندان های جلویی برای دندان های قابل مشاهده انتخاب ایده آلی باشند.
2. کم تهاجمی:
رزین کامپوزیت امکان یک رویکرد محافظه کارانه تر را برای ترمیم دندان فراهم می کند. از آنجایی که مستقیما به دندان میچسبد، در مقایسه با روش های سنتی، ساختار طبیعی دندان به مقدار کمتری نیاز به برداشته شدن دارد. این حفظ مواد سالم دندان یکی از جنبه های حیاتی سلامت دندان در دراز مدت است.
3. پیوند قوی:
رزین کامپوزیت مستقیما به مینای دندان می چسبد و چسبندگی قوی بین ماده و دندان طبیعی ایجاد می شود. این پیوند نه تنها به ترمیم ساختار دندان کمک می کند، بلکه به مرور زمان از یکپارچگی آن نیز حمایت می کند.
4. درمان سریع و کارآمد:
بسیاری از روش های کامپوزیت دندان مانند پرکردن و باندینگ را می توان در یک جلسه دندانپزشکی تکمیل کرد. این فرآیند سریع، رزین کامپوزیت را به گزینه ای مناسب برای بیماران و دندانپزشک زیبایی تبدیل می کند.
5. دوام:
پیشرفت در فناوری کامپوزیت دوام آن را تا حد زیادی بهبود بخشیده است. در حالی که پرکننده های رزین کامپوزیت به اندازه آمالگام فلزی قوی نیستند، با مراقبت مناسب می توانند سال ها دوام بیاورند. فرمولاسیون های جدید کامپوزیت در برابر سایش بسیار مقاوم هستند و می توانند جویدن و گاز گرفتن را تحمل کنند.
6. تطبیق پذیری:
کامپوزیت دندان را می توان در انواع کاربردهای ترمیمی و زیبایی، از حفره های کوچک گرفته تا بازسازی های بزرگتر مورد استفاده قرار داد که آن را به یکی از همه کاره ترین مواد در دندانپزشکی تبدیل می کند.
هزینه کامپوزیت دندان چقدر است؟
هزینه کامپوزیت دندان به عوامل مختلفی مانند تعداد دندانها، مهارت پزشک، برند مواد مصرفی و میزان اصلاح طرح لبخند بستگی دارد. از آنجا که این موارد در هر فرد متفاوت است، نمیتوان رقم دقیقی ارائه داد. برای آشنایی کامل با جزئیات و عوامل مؤثر بر قیمت، پیشنهاد میکنیم مقالهی هزینه کامپوزیت دندان را مطالعه کنید.


معایب کامپوزیت دندان چیست؟
با وجود مزایای فراوان، عوارض کامپوزیت دندان هم باید در نظر گرفته شود:
- دوام کمتر نسبت به لمینت سرامیکی
طول عمر کامپوزیت دندان معمولا بین ۵ تا ۷ سال است، در حالی که لمینت سرامیکی میتواند بیش از ۱۰ سال دوام بیاورد. - احتمال تغییر رنگ
به دلیل جنس رزینی، برخی کامپوزیتها پس از مدتی ممکن است دچار رنگپذیری شوند. - حساسیت به مراقبت
نیازمند توجه بیشتر به بهداشت دهان و پرهیز از عادات آسیبزا مانند جویدن اجسام سخت است. - مقاومت کمتر در برابر فشار
در مقایسه با لمینت یا روکشهای تمام سرامیک، مقاومت مکانیکی کمتری دارد.

کامپوزیت دندان برای چه کسانی توصیه نمی شود؟
برخی شرایط باعث میشود که کامپوزیت بهترین انتخاب نباشد:
- افرادی که دندانقروچه شدید دارند، زیرا فشار بیش از حد به شکستگی کامپوزیت منجر میشود.
- کسانی که پوسیدگی یا بیماری لثه فعال دارند و باید ابتدا این مشکلات درمان شود.
- بیمارانی که به دنبال تغییرات بسیار گسترده و ماندگار هستند.
- افرادی که به دلیل سبک زندگی پرمصرف قهوه، چای یا دخانیات، احتمال تغییر رنگ کامپوزیت در آنها زیاد است.
| گروه افراد | دلیل عدم توصیه کامپوزیت دندان |
|---|---|
| کسانی که دندان قروچه (سایش دندانها) دارند | فشار زیاد باعث شکستگی یا لبپریدگی کامپوزیت میشود. |
| افرادی با بهداشت دهان ضعیف | پلاک و جرم زیاد باعث تغییر رنگ و التهاب لثه میشود. |
| کسانی که پوسیدگی فعال یا بیماری لثه دارند | ابتدا باید مشکلات درمان شوند تا کامپوزیت دوام داشته باشد. |
| افراد با دندانهای خیلی نامرتب یا بدجفت | بهتر است قبل از کامپوزیت، ارتودنسی انجام شود. |
| کسانی که انتظار درخشندگی غیرواقعی دارند | کامپوزیت طبیعیتر از لمینت سرامیکی است و براقیت محدود دارد. |
| افرادی که عادت به جویدن اجسام سخت (یخ، ناخن و…) دارند | احتمال لبپریدگی و شکستگی بالا میرود. |
| افراد سیگاری یا مصرفکنندگان زیاد قهوه و چای | تغییر رنگ سریعتر از حالت معمول اتفاق میافتد. |
کامپوزیت ونیر روی ۵ دندان جلو
لبخند طبیعی با کامپوزیت ونیر به روش لیرینگ
تفاوت کامپوزیت و لمینت دندان؛ کدام گزینه برای شما بهتر است؟
در کنار کامپوزیت، روش دیگری هم برای زیبایی دندانها وجود دارد که به نام لمینت دندان شناخته میشود. هر دو روش با هدف اصلاح طرح لبخند انجام میشوند، اما از نظر جنس، ضخامت و نحوه اجرا تفاوتهایی دارند که باعث میشود هرکدام برای شرایط خاصی مناسبتر باشند. اگر میخواهید بدانید کدام گزینه برای شما انتخاب بهتری است، پیشنهاد میکنیم مقالهی تفاوت لمینت و کامپوزیت دندان را مطالعه کنید.
نکات مهم مراقبتی کامپوزیت دندان
هرچند کامپوزیت دندان ظاهر زیبایی به لبخند میدهد، اما برای ماندگاری و حفظ کیفیت آن، مراقبت صحیح بسیار ضروری است. رعایت نکات زیر باعث میشود عمر مفید کامپوزیت بیشتر شود و کمتر نیاز به ترمیم پیدا کند.
- رعایت بهداشت دهان و دندان به صورت روزانه
حداقل دو بار در روز مسواک بزنید و یک بار از نخ دندان استفاده کنید تا پلاک و جرم روی کامپوزیت و لثه تشکیل نشود. - پرهیز از جویدن اجسام سخت
جویدن یخ، مداد، ناخن یا آبنبات سفت میتواند باعث ترک یا لبپریدگی کامپوزیت شود. - اجتناب از تغییرات شدید دما
بلافاصله پس از خوردن غذای داغ، نوشیدنی بسیار سرد ننوشید، زیرا تغییر دمای ناگهانی ممکن است به کامپوزیت آسیب بزند. - محدود کردن مصرف مواد رنگی
مصرف زیاد چای، قهوه، نوشابههای تیره و دخانیات میتواند باعث تغییر رنگ کامپوزیت شود. در صورت مصرف، بلافاصله دهان را با آب شستشو دهید. - استفاده از محافظ دندان در شب
اگر دندانقروچه دارید، استفاده از نایتگارد برای جلوگیری از فشار بیش از حد به کامپوزیت ضروری است. - مراجعه منظم به دندانپزشک
هر شش ماه یکبار برای چکاپ و پالیش کامپوزیت دندان به دندانپزشک مراجعه کنید تا سطح آن صاف و براق بماند. - انتخاب خمیر دندان مناسب
از خمیردندان مناسب کامپوزیت استفاده کنید تا سطح کامپوزیت خشدار نشود. - پرهیز از گاز زدن مستقیم برخی مواد غذایی
غذاهایی مانند ذرت بوداده سفت، هویج خام یا ساندویچهای بسیار سفت را بهتر است با دندانهای عقبی بجوید.

نحوه سالم نگه داشتن کامپوزیت دندان
مراقبت مناسب می تواند عمر ترمیم های کامپوزیت شما را افزایش دهد و دندان های شما را سالم نگه دارد. در اینجا چند نکته برای حفظ پر کردن و ترمیم کامپوزیت وجود دارد:
- – بهداشت خوب دهان: دو بار در روز با خمیر دندان حاوی فلوراید مسواک بزنید و یک بار در روز از نخ دندان استفاده کنید تا از پوسیدگی اطراف ترمیم کامپوزیت جلوگیری کنید.
- – چک آپ های منظم دندانپزشکی: برای تمیز کردن و بررسی یکپارچگی پرکردگی های کامپوزیت خود به طور مرتب به دندانپزشک خود مراجعه کنید.
- – از غذاهای سفت پرهیز کنید: هنگام گاز گرفتن غذاهای سفت، مانند یخ یا آب نبات های سفت که می توانند به مواد پرکننده کامپوزیت آسیب بزنند، احتیاط کنید.
- – کاهش لک: مصرف غذاها و نوشیدنی های لک زا را محدود کنید و از کشیدن سیگار که می تواند باعث تغییر رنگ پرکننده های کامپوزیت شود، خودداری کنید.
سوالات متداول کامپوزیت دندان
بین ۵ تا ۱۰ سال بسته به مراقبت، تغذیه و عادات دهانی دوام دارد.
خیر، اگر بهدرستی انجام شود و مراقبت شود، آسیبی به دندان نمیزند.
بله، ممکن است با گذر زمان و مصرف مواد رنگی کمی تغییر رنگ دهد.
کامپوزیت دندان برای همه افراد مناسب نیست. اگر دندانها پوسیدگی فعال، مشکلات لثه، عادات مخربی مثل دندانقروچه یا سایش شدید دارند، بهتر است تا زمان درمان این مشکلات، انجام کامپوزیت به تعویق بیفتد.
نتیجه گیری
کامپوزیت دندان یک ماده بسیار موثر برای دندانپزشکی ترمیمی و زیبایی است. جذابیت زیبایی شناختی، تطبیق پذیری و توانایی پیوند مستقیم با دندان، آن را به گزینه ای محبوب برای بیمارانی تبدیل می کند که خواهان راه حلی طبیعی برای مشکلات دندانی هستند. رزین کامپوزیت چه در پرکردن، ونیر یا باندینگ استفاده شود، مزایای زیادی دارد، از حفظ ساختار دندان گرفته تا ارائه یک روش سریع و کم تهاجمی.
مزایای کامپوزیت های دندانی برای بسیاری از بیماران بسیار بیشتر از معایب آن است. با مراقبت مناسب، ترمیم های کامپوزیت می توانند سال ها دوام بیاورند و به شما کمک کنند لبخندی سالم و زیبا داشته باشید. اگر کامپوزیت دندان را برای ترمیم بعدی خود در نظر می گیرید، با بهترین دندانپزشک متخصص مشورت کنید تا مشخص شود که آیا این کامپوزیت برای نیازهای خاص شما مناسب است یا خیر.
